Compost worms can make quick work of food scraps and other waste Rob Walls/Alamy Worms. I’ve got a few. I split my time between a small inner-city apartment in Sydney,…

Subscribe Now for Real-time Updates on the Latest Stories!
Brown forest wallabies spread to several islands thousands of years agoMehd Halaouate, Birdingindonesia.com Research suggests that as early as 12,800…
Novoloop Revolutionizes Plastic Recycling with Upcycled Materials Plastic recycling has long been a challenge, with only about 9% of plastic…
An Enormous Comet Approaching the Inner Solar System A massive comet, known as Comet C/2014 UN271 (Bernardinelli-Bernstein), is currently making…
Samsung Galaxy Z Flip 7: New Design Leaks and Price Hike Concerns Fresh design leaks for the upcoming Samsung Galaxy…
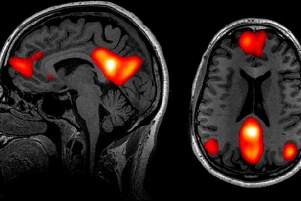
Language is a remarkable ability that sets humans apart from other species. While animals can communicate basic needs through sounds…
The latest leak for the Samsung Galaxy S25 FE has provided us with a comprehensive look at what to expect…
New Breakthrough in Plastic Recycling and Drug Manufacturing Recent research has shown promising advancements in addressing two of the most…
Andy Konwinski Launches $100 Million AI Research Institute Renowned computer scientist Andy Konwinski, known for co-founding Databricks and Perplexity, made…
Sign in to your account