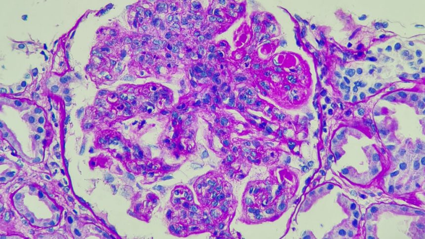
Georg Schett faced a critical situation: a young patient gravely ill with lupus, and promising mouse studies suggesting that specialized T cells might control the disease.
The German physician-scientist was able to generate these cells, known as chimeric antigen receptors or CARs, at his institution. However, he encountered another obstacle: the patient’s parents. âThey were like, âDonât do that. Youâre crazy,ââ recalled Fabian MĂŒller, Schettâs collaborator at the University of Erlangen-Nuremberg. At that time, there was a widespread fear that T cells could exacerbate autoimmune diseases.
The outcome was a rare scientific success story: the patient improved. Five years later, she remains in remission and is working in the same clinic where she received her treatment. Her experience revolutionized the field of autoimmune disease, spurring a surge in research and investment and providing new hope to millions of patients.
This article is exclusive to STAT+ subscribers
Unlock this article â plus in-depth analysis, newsletters, premium events, and news alerts.
Already have an account? Log in
View All Plans

