The recent failure of Novo Nordisk’s GLP-1 pill, semaglutide, to slow down the progression of Alzheimer’s disease has dealt a blow to hopes of finding an effective treatment for this devastating condition. The results of two large clinical trials, known as evoke and evoke+, involving over 3,800 participants aged 55 to 85 with early-stage Alzheimer’s, were announced by the company. Despite some improvements in Alzheimer’s biomarkers, the oral semaglutide treatment did not delay the progression of the disease.
Endocrinologist Daniel Drucker, who has consulted for Novo Nordisk in the past, described the results as “a setback for the field.” While previous studies had hinted at the potential of GLP-1 drugs to reduce the risk or slow the development of Alzheimer’s, the exact mechanism by which they might achieve this remains unclear. One hypothesis is that these drugs reduce inflammation, which is known to play a role in neurological conditions like Alzheimer’s.
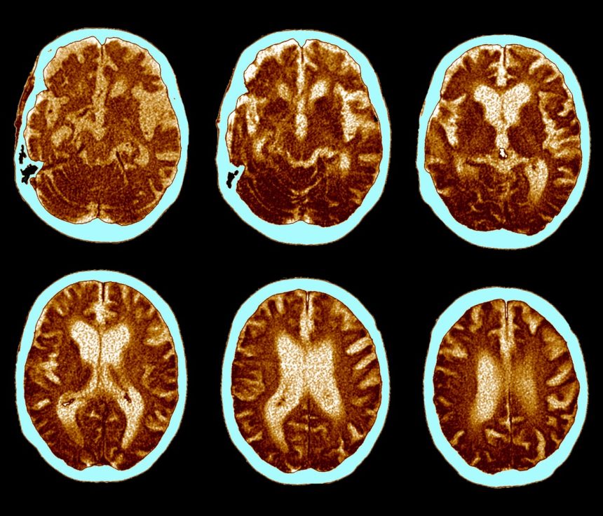
Drucker pointed out that the structure of semaglutide may have hindered its ability to penetrate certain regions of the brain crucial for memory and cognitive function, such as the hippocampus. He also suggested that differences in dosage or method of administration, as seen in injectable forms of GLP-1 drugs, could potentially yield different results. However, he cautioned that higher doses in older adults could carry additional risks.
Despite the disappointing outcome, Novo Nordisk plans to present the full datasets of the trials at upcoming conferences, including the Clinical Trials in Alzheimer’s Disease (CTAD) conference and the AD/PD Alzheimer’s and Parkinson’s Diseases Conference in March 2026. The company emphasized the importance of rigorous evidence and clinical trials in understanding the efficacy of potential treatments.
While the results may not have met expectations, the efforts of Novo Nordisk in conducting these trials deserve recognition. The search for effective treatments for Alzheimer’s disease continues, and the insights gained from these trials may pave the way for future research and development in this challenging field. The COVID-19 pandemic has changed the way we live, work, and interact with one another. From the way we shop for groceries to the way we communicate with our loved ones, every aspect of our daily lives has been impacted by the global health crisis. One of the most significant changes brought about by the pandemic has been the shift to remote work.
Remote work, or working from home, has become the new norm for many people around the world as companies adapt to the challenges posed by the pandemic. While remote work has its advantages, such as flexibility and the ability to work from anywhere, it also comes with its own set of challenges.
One of the biggest challenges of remote work is maintaining a healthy work-life balance. Without the physical separation of the office, it can be difficult to switch off from work and create boundaries between work and personal time. This can lead to burnout and decreased productivity in the long run. To combat this, it’s important for remote workers to establish a routine, set boundaries, and take regular breaks throughout the day.
Another challenge of remote work is the lack of face-to-face interaction with colleagues. While technology has made it easier to stay connected virtually, nothing can replace the social interactions that come with working in an office. This can lead to feelings of isolation and loneliness, which can have a negative impact on mental health. To combat this, remote workers should make an effort to stay connected with colleagues through virtual meetings, phone calls, and messaging apps.
Despite the challenges, remote work also presents opportunities for personal and professional growth. Working from home allows for greater flexibility in terms of work hours and location, which can lead to increased productivity and job satisfaction. Remote work also allows for a better work-life balance, as employees can spend more time with their families and pursue hobbies and interests outside of work.
As the world continues to navigate the challenges of the COVID-19 pandemic, remote work is likely to remain a prominent feature of the modern workplace. By addressing the challenges and embracing the opportunities that come with remote work, employees can thrive in this new era of work and create a more fulfilling and balanced work life.

