Gut Bacteria Species Found to Reduce Weight Gain in Mice Fed a High-Fat Diet
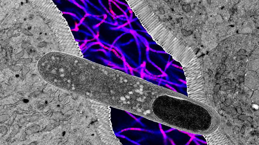
Researchers at the University of Utah have discovered a bacterial species in the human gut that can significantly reduce weight gain and improve metabolic health. In a recent study published in Cell Metabolism, microbiologists identified the bacterial species Turicibacter as a key player in combating weight gain in mice fed a high-fat diet.
Lead researcher June Round expressed surprise at the significant impact of a single microbe, stating, “I didn’t think one microbe would have such a dramatic effect – I thought it would be a mix of three or four.”
The findings suggest that supplements of molecules produced by Turicibacter could potentially help reduce the health consequences of obesity in humans.
Link Between Gut Microbiome and Metabolic Health
Obesity is a major risk factor for metabolic diseases like type 2 diabetes, affecting millions of people globally. The gut microbiome plays a crucial role in metabolic health and obesity, with diet influencing the composition of gut microbes.
Prior studies have shown that low microbiome diversity is linked to obesity, and this diversity declines in animals fed a high-fat diet.

Turicibacter is part of a beneficial microbial community that includes around 80 bacterial species, accounting for approximately 0.1 percent of the gut microbiome. This bacterium produces fatty acids that help regulate harmful fat molecules known as ceramides, which are associated with metabolic diseases.
Impact of Turicibacter Supplementation
Studies have shown that Turicibacter offers metabolic benefits by influencing fat absorption in the small intestine. However, the growth of this beneficial bacterium is hindered by high-fat diets, necessitating regular supplementation.
When mice were provided with an oral supplement of Turicibacter five days a week, they exhibited reduced weight gain, lower glucose levels, decreased body fat, and other favorable changes in lipid profiles, even when fed a high-fat diet.
While these findings hold promise for potential therapeutic interventions, further research is needed to determine their applicability to humans. The study underscores the complex interplay between gut microbes and metabolic health, paving the way for future treatments leveraging the gut microbiome.

Future Implications and Research Directions
The discovery of Turicibacter as a key player in reducing weight gain sheds light on the potential of microbial therapies for metabolic diseases. By harnessing the beneficial properties of various microbes, researchers aim to develop personalized treatments tailored to individual needs.
Microbiologist Kendra Klag, the study’s first author, envisions the possibility of creating a consortium of beneficial bacteria to address different diseases. Unlike conventional medications, bacterial therapy can be customized to target specific microbial imbalances while minimizing side effects.
This groundbreaking research opens new avenues for exploring the therapeutic potential of gut microbes and their lipid products in combating metabolic diseases. The study is published in Cell Metabolism.

